This old version of Proteopedia is provided for student assignments while the new version is undergoing repairs. Content and edits done in this old version of Proteopedia after March 1, 2026 will eventually be lost when it is retired in about June of 2026.
Apply for new accounts at the new Proteopedia. Your logins will work in both the old and new versions.
Image:SDSPAGE.png
From Proteopedia

No higher resolution available.
SDSPAGE.png (662 × 436 pixel, file size: 250 KB, MIME type: image/png)
Gregg T. Holliday (Talk | contribs)
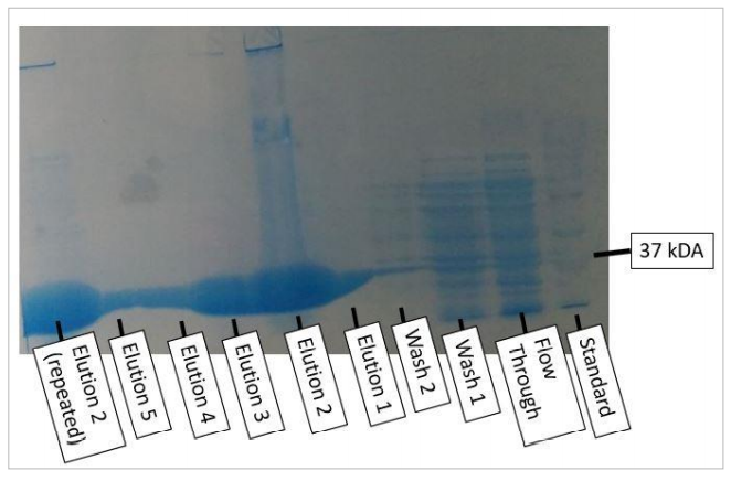
(SDS-PAGE analysis of fractions eluted from Ni-NTA agarose column for 2O14 purification. The gel was stained with Coomasie blue. Elution 1, 2, 3, 4, and 5 are the fractions that were expected to contain the 2O14 protein. According to the standard, these )
Next diff →
Current revision
SDS-PAGE analysis of fractions eluted from Ni-NTA agarose column for 2O14 purification. The gel was stained with Coomasie blue. Elution 1, 2, 3, 4, and 5 are the fractions that were expected to contain the 2O14 protein. According to the standard, these fractions show an approximate MW value of 37 kDa when measured from the top of their band. The PDB literature value for total structure weight of 2O14 is 41.79 kDa.
File history
Click on a date/time to view the file as it appeared at that time.
| Date/Time | User | Dimensions | File size | Comment | |
|---|---|---|---|---|---|
| (current) | 17:00, 10 March 2024 | Gregg T. Holliday (Talk | contribs) | 662×436 | 250 KB | SDS-PAGE analysis of fractions eluted from Ni-NTA agarose column for 2O14 purification. The gel was stained with Coomasie blue. Elution 1, 2, 3, 4, and 5 are the fractions that were expected to contain the 2O14 protein. According to the standard, these |
- Edit this file using an external application
See the setup instructions for more information.
Links
The following pages link to this file:
