This old version of Proteopedia is provided for student assignments while the new version is undergoing repairs. Content and edits done in this old version of Proteopedia after March 1, 2026 will eventually be lost when it is retired in about June of 2026.
Apply for new accounts at the new Proteopedia. Your logins will work in both the old and new versions.
BASIL2022GV3R8E
From Proteopedia
Characterization of the 3r8e Protein, a Novel Glucose Kinase
AbstractThe Protein Data Bank (PDB) contains approximately 188 thousand protein structures, 5000 of which have not been assigned a specific function. As a part of the Biochemistry Authentic Scientific Inquiry Laboratory (BASIL) project, we were tasked with analyzing and determining the function of one of these proteins, PDB ID 3r8e. This protein is a putative kinase, which is of interest due to the key roles kinases play in many cellular processes. Utilizing the modules the BASIL consortium provides, a series of in silico and in vitro experiments were conducted. The 3r8e protein was first studied using a variety of in silico tools, including BLASTp, Pfam, and DALI. Based on our in silico results, glucose was determined to be the most likely substrate for 3r8e and was used for further in vitro characterization of the protein. To confirm the in silico function prediction for the 3r8e protein, bacterial protein overexpression, affinity chromatography purification, coupled kinase activity assays, and SDS PAGE analyses were utilized. Multiple sugar substrates for 3r8e were tested, including glucose. The coupled kinase assay results confirmed that 3r8e likely plays a role in glucose phosphorylation, aligning with our in silico conclusions. Previous and subsequent analysis of protein 3r8e validated our initial in silico and in vitro results. Overall, we have strong preliminary evidence that our protein of interest (POI) is a glucose kinase. IntroductionAs apart of a research project under the Biochemistry Authentic Scientific Inquiry Laboratory (BASIL) consortium, our group was tasked with characterizing and identifying the function of this protein to provide further insight of the protein's relationship to the bacteria. Like many proteins with solved crystal structures, protein 3r8e has an uncharacterized and unconfirmed function. Previous research has shown that there is relationship between our POI and bacteria found in soil. Current research techniques have made the role more apparent and below is the general workflow detailing how we generated our conclusions. MethodsAs you can see in the workflow portion above, we used a variety of in silico tools such as BLASTp, Pfam, DALI, PyRx, and PyMol to help us generate a hypothesis for our uncharacterized proteins function. Using the FASTA sequence found in the Protein Data Bank file, we then were able to find similarities between 3r8e and other characterized proteins. While exploring the DALI database, a significant structural alignment hit was found with protein 3vov. Structural and sequence alignment analysis with protein 3vov, a hexokinase, is provided below.
From here, we were able to form the conclusion that our POI interacts with glucose based on the alignment with a known hexokinase. To validate that glucose actually binds and interacts with our protein of interest, we conducted a PyRx in silico docking experiment with a total of five hexose substrates. Other substrates tested include fructose, galactose, lactose, and ribose, however, experimental in silico docking results for those substrates were significantly less than glucose. Along with the PyRx docking, we visualized within the proposed active site in the PyMol visualization software tool. We also were then able to find which active site amino acid were crucial to binding, which are highlighted . The binding affinity of glucose was -5.1 kcal/mol, which strengthens our idea that glucose is phosphorylated by our protein of interest. The confidence behind our in silico results allowed us to move into testing our hypothesis in vitro and because ATP aids in the phosphorylation of glucose, an has been provided to represent interactions of glucose and ATP in the active site.
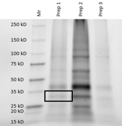
Experimental Results/FunctionOnce we felt confident enough to finalize our substrate hypothesis, we began testing in vitro. Beginning with bacterial protein overexpression and affinity chromatography, we were able to purify our POI and begin testing with real substrates. Below are the results of our Uncoupled Kinase Assay, reported in terms of specific activity (mg/mL). Our results from this assay further supports our idea of protein 3r8e assisting in the phosphorylation of glucose. A total of five hexose substrates were tested in vitro, detailed in the table below. Based on these results, we were able to strengthen our initial hypothesis and continue characterization. For further validation, we conducted an SDS analysis and provided below is the gel image. Indicated by the black box is our POI, around 34 kDa. Results were not as clear as anticipated, and in future studies, we would need to utilize different chromatography methods to yield higher quality protein concentrations and conduct a pre and post induction to visualize the purity of our protein. Project ImplicationsThe goal of this project is to explore the techniques it takes to characterize a putative kinase. To do this, we became familiar with online alignment, structure, and function tools, paired with a variety of in vitro lab experiments, including bacterial protein overexpression, affinity chromatography, coupled kinase assays, and SDS PAGE. These techniques can be used to help characterize further putative kinases discovered in the future that do not have a defined function. This project is of importance because proteins are biomolecules responsible for as organisms' survival and understanding their unique function is essential for advances in modern medicine, scientific research, and agriculture. Conclusions/Future DirectionConclusions: After various experiments and discussion, we have concluded that the novel protein 3R8E is a . By using an in-vitro assay, we obtained results comparing the phosphorylation rates of five sugars in the presence of our putative kinase. From the assay results, we were able to calculate an average specific activity for all experimental sugars, and by comparing these numbers we can clearly see that glucose is being phosphorylated in the presence of protein 3R8E. To get to this conclusion, we ran triplicates of the experiment for each sugar, and then followed a calculation procedure to get specific activity numbers to quantify how active our protein is with a given substrate. By doing this, we were able to validate and further support our hypothesis, which now can allow others to replicate or continue our research. Glucose provided us with a specific activity value of 0.214 +/- 0.893 and 1.223 +/- 2.575 for prep one and two respectively. Future Direction: After validating our results, we now look to take our findings to a micropublication website for undergraduate research. By doing this, not only will our work be forward facing and available to the science community, but it also allows for collaboration and further questions to be asked. After completing the micropublication, we look to continue to develop research strategies for putative kinases, as the PDB has thousands of proteins with unsolved functions. We will do this by combining machine learning, data science, and lab work to allow undergraduate students and scientist to effectively research and study putative kinase structures and functions.
References1. Blastp [Internet]. Bethesda (MD): Natiobal Library of Medicine (US), National Center for Biotechnology Information; 2004- [cited 2022 March]. Available from: (https://blast.ncbi.nlm.nih.gov/Blast.cgi?PAGE=Proteins) 2. BASIL. https://basilbiochem.github.io/basil/ 3. Holm L (2020) Using Dali for protein structure comparison. Methods Mol. Biol. 2112, 29-42. 4. Small- Molecule Library Screening by Docking with PyRx. .Dallakyan S, Olson AJ Methods Mol Biol. 2015;1263:243-50. The full-text is available at https://www.researchgate.net/publications/2739554875. Small-Molecule Library Screening by Docking with PyRx. 5. Pfam: The Protein families database in 2021 J. Mistry, S. Chuguransky, L. Williams, M. Qureshi, G.A. Salazar, E.L.L. Sonnhammer, S.C.E. Tosatto, L. Paladin, S. Raj, L.J. Richardson, R.D. Finn, A. Bateman Nucleic Acids Research (2020) doi: 10.1093/nar/gkaa913 6. The PyMOL Molecular Graphics System, Version 1.2r3pre, Schrödinger, LLC. | ||||||||||||
Proteopedia Page Contributors and Editors (what is this?)
Dalton Dencklau, Michel Evertsen, Bonnie Hall, Jaime Prilusky
